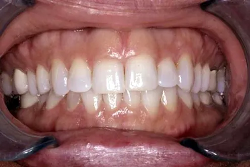
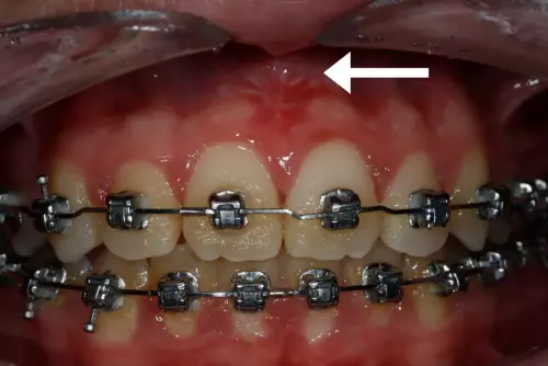
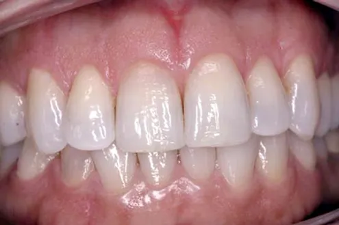
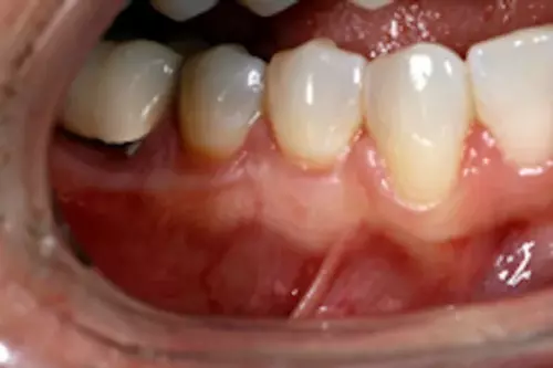
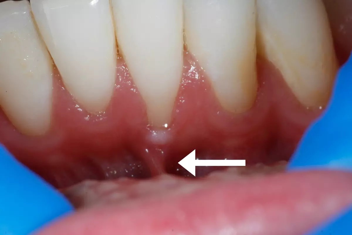
Results You Can Smile About Single Tooth Implant Multiple Implants Multiple Implants (Fixed Teeth) Full Upper Implants Multiple Soft Tissue Grafts Soft Tissue Grafting Soft Tissue Grafting & Frenectomy Frenectomy Esthetic Crown Lengthening Canine Exposure Ridge Augmentation Single Tooth Implant Multiple Implants Multiple Implants: Fixed (Non-Removable) Teeth Full Upper Implants: Bar Retained Prosthesis Multiple Soft Tissue Grafts Soft Tissue Grafting Soft Tissue Grafting & Frenectomy Frenectomy Esthetic Crown Lengthening (Short Teeth) Canine Exposure (Under Gum & Will Not Erupt) Ridge Augmentation